日野市豊田の歯医者|プルミエデンタルオフィス|多摩平イオン近く

esthetic case
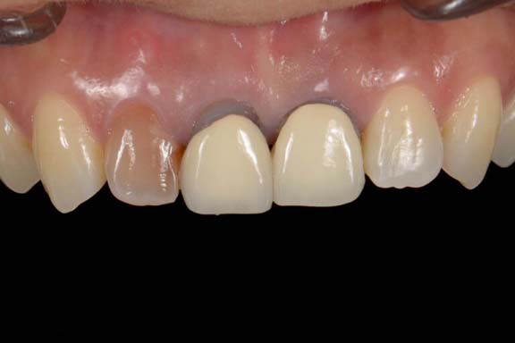
審美治療の症例 〜被せ物〜

審美治療の症例 〜被せ物〜

審美治療の症例
〜セラミッククラウン〜

Before

After

主訴他院で治療してもらった
セラミックを変えたい
治療期間2ヶ月
治療費ラミネートベニア132,000円×2本
セラミッククラウン132,000円×4本
治療内容審美修復(セラミックにて修復)
治療の
リスク
セラミックの破損

※ 上記金額は税込表記となります。

詳細はホームページ内ブログの審美治療(セラミック治療)症例3を参照してください。

ブログはこちら

審美治療の症例
〜セラミッククラウン〜

Before

After


主訴前歯の見た目が気になる
治療期間5ヶ月
治療費540,000円
(セラミック135,000円/1歯)
+保険診療(根管治療)
治療内容前歯4本の根管治療後
セラミッククラウンにて補綴
治療の
リスク
根管治療した部位の再発、
セラミックの破損

※ 上記金額は税込表記となります。

審美治療の症例
〜セラミック、ジルコニアにて修復治療〜

Before①

症例写真

Before②

症例写真

After①

症例写真

After②

症例写真

年齢30代
性別女性
主訴虫歯の治療をしてほしい
治療期間5年
(途中、通院困難な時期有り)
治療費ジルコニアセラミッククラウン
165,000円 × 7歯
セラミッククラウン
99,000円

ジルコニアブリッジ
330,000円 × 2歯
ジルコニアクラウン
99,000円

根管治療:保険診療
※デンタルローン利用
治療内容感染根管治療、審美修復(セラミック、ジルコニアにて修復)
治療の
リスク
根管治療部位の再発、
二次的な虫歯、修復した歯の破損

※ 上記金額は税込表記となります。

審美治療の症例
〜根管治療、歯肉切除術など〜

Before

After


主訴前歯の形が気になる
治療期間1ヶ月
治療費143,000円
(ダイレクトボンディング
22,000円×2
セラミッククラウン
99,000円)
治療内容根管治療、歯肉切除術後、
ダイレクトボンディングと
セラミックにて補綴
治療の
リスク
根管治療した部位の再発、
ダイレクトボンディングや
セラミックの破損

※ 上記金額は税込表記となります。

審美治療の症例
〜セラミッククラウンなど〜

Before

After


主訴前歯の黒い部分が気になる
治療期間1年6ヶ月
治療費2,394,400円
(グラスファイバー×20歯、
セラミッククラウン×14歯
セラミックBr×2、
ホワイトニング)
治療内容根管治療後、
ホワイトニングを行い、
セラミック修復
治療の
リスク
根管治療した部位の再発、
セラミックの破損

※ 上記金額は税込表記となります。

審美治療の症例
〜セラミック修復など〜

Before

After


主訴銀歯を白くしたい
治療期間1年
治療費942,000円
治療内容セラミック修復、
ダイレクトボンディング、
ホワイトニング、
根管治療
治療の
リスク
セラミックの破損、
根管治療した部位の再発、
ホワイトニング後の後戻り

※ 上記金額は税込表記となります。

審美治療の症例
〜ジルコニアセラミック〜

Before

After


主訴前歯の色が気になる
治療期間1ヶ月
治療費132,000円
治療内容セラミック修復
(ジルコニアセラミック)
治療の
リスク
セラミックの破損

※ 上記金額は税込表記となります。

審美治療の症例
〜セラミック修復、ジルコニア修復など〜

Before

After


主訴ものが噛みにくい
治療期間1年
治療費1,155,000円+保険診療
治療内容セラミック修復、
ジルコニア修復、
CAD/CAM冠、
根管治療、
ファイバーコア
治療の
リスク
修復物の破損、
根管治療部位の再発

※ 上記金額は税込表記となります。

審美治療の症例
〜セラミック治療〜

Before

After


主訴前歯の被せ物が気になる
治療期間2ヶ月
治療費132,000円
治療内容審美修復
(セラミックにて修復)
治療の
リスク
二次的な虫歯、修復した歯の破損

詳細はホームページ内ブログの審美治療(セラミック治療)症例1を参照してください。

ブログはこちら

※ 上記金額は税込表記となります。

審美治療の症例
〜セラミック治療〜

Before

After


主訴 前歯の被せ物のところが黒いのが気になる
治療年数 6ヶ月
治療費 ウォーキングブリーチ
2,200円 × 7回
感染根管治療(保険診療)× 2本
ファイバーコア16,500円 × 2本
セラミッククラウン
99,000円 × 2本
(デンタルローン利用)
治療内容 ホワイトニング
(ウォーキングブリーチ)
感染根管治療
審美修復(セラミックにて修復)
治療の
リスク
二次的な虫歯、
修復した歯の破損、変色

詳細はホームページ内ブログのセラミック症例2を参照してください。

ブログはこちら

※ 上記金額は税込表記となります。