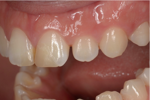
| 主訴 | 前歯が気になる |
|---|---|
| 治療回数 | 3回 |
| 治療費 | ダイレクトボンディング 33,000円 × 2歯 |
| 治療内容 | 既存のプラスチックを除去、 虫歯を除去後ダイレクトボンディングにて修復 |
| 治療の リスク | 修復部の破損、経年劣化による変色、二次的な虫歯 |
詳細はホームページ内ブログのダイレクトボンディング症例1を参照してください。
ブログはこちら※ 上記金額は税込表記となります。
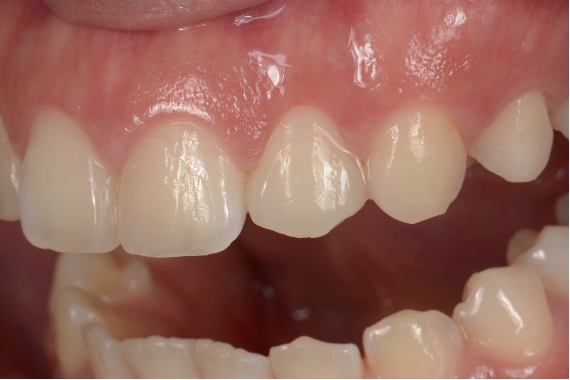
| 主訴 | 前歯の隙間が気になる |
|---|---|
| 治療期間 | 1ヶ月 |
| 治療費 | 66,000円 (33,000円/1歯) |
| 治療内容 | ダイレクトボンディング |
| 治療の リスク | 詰めたプラスチックの破損、 経年劣化による変色 |
※ 上記金額は税込表記となります。
| 主訴 | 銀歯を白くしたい |
|---|---|
| 治療期間 | 1ヶ月 |
| 治療費 | 121,000円 (ダイレクトボンディング×2、 セラミックインレー) |
| 治療内容 | ダイレクトボンディング、 セラミックインレー修復 |
| 治療の リスク | 治療部位の破損、 プラスチックの経年劣化による 変色 |
※ 上記金額は税込表記となります。
| 主訴 | 銀歯を白くしたい |
|---|---|
| 治療期間 | 1ヶ月 |
| 治療費 | 132,000円 (33,000円/1歯) |
| 治療内容 | ダイレクトボンディング |
| 治療の リスク | 詰めたプラスチックの破損、 経年劣化による変色 |
※ 上記金額は税込表記となります。
| 主訴 | 前歯の隙間が気になる |
|---|---|
| 治療期間 | 1ヶ月 |
| 治療費 | 66,000円 (33,000円/1歯) |
| 治療内容 | ダイレクトボンディング |
| 治療の リスク | 詰めたプラスチックの破損、 経年劣化による変色 |
※ 上記金額は税込表記となります。

| 主訴 | 前歯の隙間が気になる |
|---|---|
| 治療期間 | 1.5ヶ月 |
| 治療費 | 132,000円 (33,000円/1歯) |
| 治療内容 | 歯冠長延長術、 ダイレクトボンディング |
| 治療の リスク | 詰めたプラスチックの破損、 経年劣化による変色 |
※ 上記金額は税込表記となります。
| 主訴 | 銀歯を白くしたい |
|---|---|
| 治療回数 | 2回 |
| 治療費 | 22,000円 |
| 治療内容 | ダイレクトボンディング (自費のプラスチックによる修復) |
| 治療の リスク | 経年劣化によるプラスチックの 変色・着色、破損 |
※ 上記金額は税込表記となります。