当院での【オフィスホワイトニング症例】
をご紹介致します✨
30代 男性
歯を白くしたい
術前


術後
オフィスホワイトニング3回
料金¥25000円 x 2 3回目¥20000円
当院ではホワイトニングに特化した
歯科医師も在籍👩⚕️
患者様のご希望に合わせたメニューを
ご提案させていただきます✨
新生活や大切な日に向けて
ホワイトニングご希望の方が増えております🌸
お口元のお悩みぜひごお気軽に相談下さい🍀
プルミエデンタルオフィス |
日付: 2026年2月14日
当院での【オフィスホワイトニング症例】
をご紹介致します✨
30代 男性
歯を白くしたい
術前


術後
オフィスホワイトニング3回
料金¥25000円 x 2 3回目¥20000円
当院ではホワイトニングに特化した
歯科医師も在籍👩⚕️
患者様のご希望に合わせたメニューを
ご提案させていただきます✨
新生活や大切な日に向けて
ホワイトニングご希望の方が増えております🌸
お口元のお悩みぜひごお気軽に相談下さい🍀
プルミエデンタルオフィス |
日付: 2026年2月14日
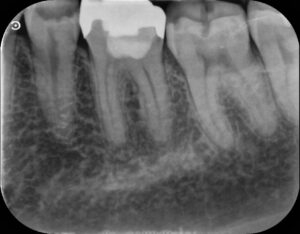
当院の治療を紹介いたします。
50代 女性
主訴:左上の歯茎が腫れた
治療内容:根管治療(感染根管治療)、コンポジットレジン修復(プラスチックによる治療)
治療期間:1ヶ月
治療費:保険診療
今後起こりうるリスク:修復物の劣化による二次虫歯、それによる再発、修復物や歯の変色

左上の前から4番目の歯です。不十分な根管治療が施されておりました。

根管治療を開始しました。(器具が根の先端まで到達しているかの確認のレントゲン写真です)

最終的なお薬を入れました。

お薬を詰め、プラスチックによる修復後1年1ヶ月経過後のレントゲン写真です。
レントゲン上でも炎症は認められず、歯茎の腫れ、痛みといった症状も認められません。
これからも定期的に経過を診ていきたいと思います。
プルミエデンタルオフィス |
日付: 2025年7月13日
当院での【オフィスホワイトニング症例】
をご紹介致します✨
60代 女性
歯の色が気になってきたので自然な白さにしたい


オフィスホワイトニング3回
料金¥25000~
当院ではホワイトニングに特化した
歯科医師も在籍👩⚕️
患者様のご希望に合わせたメニューを
ご提案させていただきます✨
新生活や大切な日に向けて
ホワイトニングご希望の方が増えております🌸
お口元のお悩みぜひごお気軽に相談下さい🍀
プルミエデンタルオフィス |
日付: 2025年4月6日
当院の治療を紹介いたします。
50代 女性
主訴:歯茎が下がっているのが気になる
治療内容;結合組織移植術
治療期間:3ヶ月
治療費:保険診療(または自費診療より選択可能)
治療リスク:不適切なブラッシングや咬合による後戻り

右下の歯茎が下がっていることによって歯ブラシがやりにくかったり、歯根が露出していることにより、時々しみることがあるとのことでした。

赤線で囲った部分が歯茎が下がってしまったところです(歯肉退縮)
結合組織移植術という上顎の内側の歯茎から組織を移植しました。

術後約1ヶ月経過後です。下がっていた歯茎はしっかり再生しております。
また、しみる症状もなくなったようで大変満足されていました。
今後も経過をしっかりと見ていきます。
プルミエデンタルオフィス |
日付: 2025年3月19日
当院の治療を紹介いたします。
50代男性
主訴:前歯にインプラントを入れてほしい
治療期間:1年1ヶ月
治療内容:骨造成、インプラント治療、根管治療、セラミック治療
治療費:924,000円(インプラント治療2本)
148,500円(支台築造、セラミック治療)
治療リスク:セラミックの破損、インプラント周囲炎

学生時代にスポーツ時に前歯を強打し、2本抜けてしまい、当院に来院するまでずっと義歯(取り外し式の入れ歯)を使用されていました。
CTにて精査したところ一部骨が薄い部分がありましたのでまずは骨を増やす処置を行いました。(骨造成)
約5ヶ月後にインプラント埋入手術を行い、さらに5ヶ月後に二次手術、1ヶ月後に仮歯を装着、使用感を確認したのちに最終的な被せ物を入れました。
各々の処置の治癒期間に右上歯の根管治療を行い(写真では左上の前歯)、インプラントの被せ物と同時にセラミックの被せ物を入れました。

現在治療後8ヶ月が経過しておりますが、根管治療をした歯を含め、問題なく使用していただいています。
今後もしっかりとケアを行っていきたいと思います。
プルミエデンタルオフィス |
日付: 2025年3月16日
当院の症例を紹介いたします。
30代 女性
初診日:2021年1月
主訴:左下の奥歯が痛い
治療期間:1ヶ月
治療内容:生活歯髄切断法、ジルコニア修復
治療費:11、000円(生活歯髄切断法)
55、000円(ジルコニア修復)(2021年時)
治療リスク:二次齲蝕

左下の6歳臼歯の銀歯の下に神経まで達する大きな虫歯がありました。(赤線部分)
通常ならば神経を取り、根管治療を行うことがほとんどですが

MTAセメントを用いて神経の保存を試みました。(白い部分)
1週間後に来院されましたが、しみたりなどの症状は全くありませんでした。
先日当院を受診され、レントゲンを撮らせてただきました。

神経の処置後から4年経過しましたが、症状は全くなく快適に使用されているようです。
これからも経過を追っていきたいと思います。
プルミエデンタルオフィス |
日付: 2025年2月28日
当院での治療を紹介いたします。
30代 女性
主訴:左上前歯の歯茎が腫れて痛い
治療年数:1ヶ月
治療費:保険診療
治療内容:感染根管治療、プラスチック修復
治療リスク:二次的な虫歯、修復した歯の破損、変色

左上の前歯の痛みを主訴に当院を受診されました。レントゲン写真にて赤い線の部分が膿んでいるのが確認できましたので、神経の治療(根管治療)を行いました。

最終的なお薬を入れた直後のレントゲン写真です。まだ赤い線の部分の状態は変わっていません。

こちらが2年経過後のレントゲン写真になります。赤い線の部分は完全に膿が消え、骨が再生しています。患者さんも症状が全くなく快適に過ごしているようで良かったです。
これからも定期的に経過を追っていきたいと思います。
プルミエデンタルオフィス |
日付: 2024年3月20日
当院での治療を紹介いたします。
40代 女性
主訴:左上の歯茎が腫れて噛むと痛い
治療年数:1,5ヶ月、その後2ヶ月
治療費:保険診療
治療内容:感染根管治療、グラスファイバーポストコア、CAD/CAM冠
治療リスク:二次的な虫歯、修復した歯の破損、変色


左上の歯茎が腫れて痛いとのことで受診されました。腫れたところからレントゲンに写る材料を挿入しレントゲンを撮影しました。二枚目のレントゲンの赤い部分がレントゲンに写る材料です。これにより原因の歯が特定できます。

本来なら被せ物を除去して根管治療を行うのですが、自費診療の被せ物であったことを考慮して、除去せずに感染根管治療を行いました。最終的な薬剤を充填したレントゲンです。

1年後被せ物が外れて(脱離)しまい当院を受診されました。被せ物をやり直す際に根の中を確認したところ、隠れていた小さい根管が見つかりました。

画像では重なっていて分かりませんが、最終的な薬剤を充填しました。
グラスファイバーの土台を立て、保険適応の白い被せ物(CAD/CAM冠)を被せました。


そこからさらに1年後のレントゲン写真が2枚目です。1枚目は2年程前の初診時です。赤線の部分が黒く膿んでいる部分です。根の周りの黒い影は綺麗に無くなりました。
これからも定期的に経過を追っていきたいと思います。
プルミエデンタルオフィス |
日付: 2023年12月23日
当院での治療を紹介致します。
70代 女性
主訴:左上の頬が腫れた
治療年数:2ヶ月
治療費:グラスファイバーポスト16,500円 x 1、セラミックアンレー66,000円 × 1、保険診療(根管治療)
治療内容:根管治療(感染根管治療)、審美修復(セラミックにて修復)
治療リスク:二次的な虫歯、修復した被せ物の破損
当院に受診する1ヶ月前に左上の頬が腫れ、かかりつけの歯科医院を受診したが、歯が原因ではないので耳鼻科を受診するよう勧められ、耳鼻科を受診。検査をしたが異常所見は見当たらなかった。次第に歯茎の腫れがひどくなってきて、歯周病ではないかと思い、当院を検索して受診されました。

初診時
歯周病の検査をしても問題はありませんでした。

よく見ると赤線部に黒い影が見えます。
神経が生きているかを調べる機器で診査したところ反応がなかったため、この歯は神経が壊死しており、根の先に膿を形成している可能性が髙いことがわかりました。
切削診を行い、反応がなかったため、神経が壊死していることが確定しました。


この後、感染根管治療を行い、歯茎の腫れ、痛みは完全に無くなり快適に食事ができるようになったと大変満足されました。今後は定期検診にてこの歯の経過を追っていきたいと思います。また追記で報告させていただければと思います。
当院ではこのように他院では診断がつかなかった症状も正しく診断し、処置しているケースが多々あります。お口の中でお困りの方は一度相談しにきてください。
プルミエデンタルオフィス |
日付: 2023年11月17日
当院での治療を紹介いたします。
40代 男性
主訴:左下の歯茎が腫れて痛い
治療年数:3ヶ月
治療費:保険診療
治療内容:感染根管治療、グラスファイバーポストコア、CAD/CAM冠
治療リスク:二次的な虫歯、修復した歯の破損、変色

術前のレントゲン写真です。
赤い線の範囲が膿んでいる部分です。

術中のレントゲン写真です。しっかりと根の先まで器具が到達していることを確認しています。

最終的なお薬を入れました。根の先までしっかりお薬が入っていることを確認しています。

術後7ヶ月のレントゲン写真です。
膿んでいた部分は無くなりました。
今後も定期的に虫歯のチェックを行い再発しないようにケアしていきます。
プルミエデンタルオフィス |
日付: 2023年11月10日