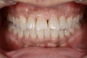
当院での【オフィスホワイトニング症例】
をご紹介致します✨
30代 男性
歯を白くしたい
術前


術後
オフィスホワイトニング3回
料金¥25000円 x 2 3回目¥20000円
当院ではホワイトニングに特化した
歯科医師も在籍👩⚕️
患者様のご希望に合わせたメニューを
ご提案させていただきます✨
新生活や大切な日に向けて
ホワイトニングご希望の方が増えております🌸
お口元のお悩みぜひごお気軽に相談下さい🍀
当院での【オフィスホワイトニング症例】
をご紹介致します✨
30代 男性
歯を白くしたい
術前


術後
オフィスホワイトニング3回
料金¥25000円 x 2 3回目¥20000円
当院ではホワイトニングに特化した
歯科医師も在籍👩⚕️
患者様のご希望に合わせたメニューを
ご提案させていただきます✨
新生活や大切な日に向けて
ホワイトニングご希望の方が増えております🌸
お口元のお悩みぜひごお気軽に相談下さい🍀
プルミエデンタルオフィス |
日付: 2026年2月14日 |
カテゴリ:ブログ, ホワイトニング